Health news, features and articles
Understanding how the body works — and what happens when things change — is paramount to improving the health and wellbeing of every person on the planet. Our team of expert health writers and editors are here to demystify the latest medical advances, explain how the latest health news affects you, and help you understand which exercise equipment can really help improve your fitness. Whether you're after facts about the human body or the secrets to extreme longevity, our health articles and features aim to leave you better informed, up to date with the latest discoveries, and even more curious about human health.
Latest about Health
-
-

These genes were thought to lead to blindness 100% of the time. They don't.
By Stephanie Pappas Published
-

A man's sudden seizures were set off by sudoku
By Sophie Berdugo Published
-

Is there such a thing as 'too much' protein?
By Christoph Schwaiger Published
-

DNA from ancient viral infections helps embryos develop, mouse study reveals
By Clarissa Brincat Published
-

Metal compounds identified as potential new antibiotics, thanks to robots doing 'click chemistry'
By Victoria Atkinson Published
-
DealsOur expert's favorite running shoes have just hit their lowest-ever price in January
By Anna Gora Published
-

Why doesn't stomach acid burn through our stomachs?
By Victoria Atkinson Published
-
Explore Health
Ageing
-
-

Gray hair may have evolved as a protection against cancer, study hints
By Victoria Atkinson Published
4 Comments -

Aging and inflammation may not go hand in hand, study suggests
By Clarissa Brincat Published
4 Comments -

'Aging clocks' can predict your risk of disease and early death. Here's what to know.
By Patrick Sullivan Published
-

Aging: What happens to the body as it gets older?
By Mindy Weisberger Published
2 Comments -

Brain scans could reveal your true biological age
By Patrick Sullivan Published
2 Comments -

'I was floored by the data': Psilocybin shows anti-aging properties in early study
By Jane Palmer Published
9 Comments -

New study raises big questions about taurine as anti-aging supplement
By Nicoletta Lanese Published
-

Combo of cancer therapy drugs increases mice lifespan by 30%
By Patrick Pester Published
-

Heat waves may accelerate the aging process
By Sanket Jain Published
2 Comments
-
Alcohol
-
-

The brain might have a hidden 'off switch' for binge drinking
By Marianne Guenot Published
-

Can weight loss drugs help you drink less alcohol?
By Marianne Guenot Published
-

How does alcohol cause cancer?
By Clarissa Brincat Published
-

What counts as 'binge drinking'? What about 'high-intensity drinking'?
By Clarissa Brincat Published
-

Why do hangovers get worse with age?
By Marilyn Perkins Published
-

Are people more honest when they're drunk?
By Marilyn Perkins Published
-

What happens to your body when you stop drinking alcohol?
By Emily Cooke Last updated
-

Can drinking alcohol really cause hiccups?
By Anna Gora Published
-

Finally, scientists explain the dreaded 'red wine headache'
By Emily Cooke Published
-
Allergies
-
-
BUYING GUIDEBest air purifiers for allergies 2026: Breathe easy this winter
By Molly Cleary Last updated
-

New Jersey man dies from meat allergy triggered by tick bite
By Nicoletta Lanese Published
-
REFERENCEDo air purifiers help with allergies?
By Kerry Taylor-Smith Last updated
-

Is playing in the dirt good for kids' immune systems?
By Emily Cooke Last updated
-
REFERENCEDo air purifiers help with dust?
By Katie Treharne Last updated
-

Could allergies be 'deleted' someday?
By Rebecca Sohn Last updated
-

Can you really be allergic to the sun?
By Anna Gora Published
-

What causes metal allergies?
By Anna Gora Published
-

The 5 most common seasonal allergies
By Anna Gora Published
-
Anatomy
-
-

Why can't you wiggle your toes one at a time?
By Steven Lautzenheiser Published
-

Why don't teeth count as bones?
By Marilyn Perkins Published
-

Human skeleton quiz: What do you know about the bones in your body?
By Kristina Killgrove Published
-

What's the strongest muscle in the human body?
By Clarissa Brincat Last updated
2 Comments -

Staring at the March 29 solar eclipse can cause eye damage in seconds — and you won’t even feel it happening
By Emily Cooke Published
-

New cells discovered in eye could help restore vision, scientists say
By Emily Cooke Published
3 Comments -

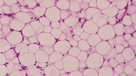
Scientists describe new type of fat in human bellies
By Marianne Guenot Published
-
'Vestigial' human ear-wiggling muscle actually flexes when we're straining to hear
By Clarissa Brincat Published
-

How many more calories does muscle burn than fat?
By Kamal Nahas Published
-
Autism
-
-

Is acetaminophen safe in pregnancy? Here's what the science says.
By Theresa Sullivan Barger Published
-

'Butterfly effect' may explain some genetic causes of autism
By Emily Cooke Published
-

Rates of autism diagnosis in children are at an all time high, CDC report suggests
By Sascha Pare Published
-

Confirmed: No Link Between Autism and Measles Vaccine, Even for 'At Risk' Kids
By Laura Geggel Published
-

Autism Risk May Increase If Child's Mother Has High DDT Exposure
By Laura Geggel Published
-

Can Marijuana Treat Autism? These Clinical Trials Aim to Find Out
By Laura Geggel Published
-

What's Behind the Recent Rise in Autism in the US?
By Rachael Rettner Published
-

AI Predicts Autism Based on Infant Brain Scans
By Tracy Staedter Published
-

Can a Drug That Fights Parasites Also Help with Autism?
By Laura Geggel Published
-
Death
-
-

What's the longest someone has been clinically dead — but then come back to life?
By Marilyn Perkins Published
-

'Microbes of death' can reveal when a frozen body died, forensic scientists explain
By Noemi Procopio Published
-

Drowning deaths in US on the rise for the 1st time in decades
By Emily Cooke Published
-

April 8 eclipse could bring uptick in fatal car crashes, scientists caution
By Nicoletta Lanese Published
-

'We don't yet have the know-how to properly maintain a corpse brain': Why cryonics is a non-starter in our quest for immortality
By Venki Ramakrishnan Published
-

'Microbiome of death' uncovered on decomposing corpses could aid forensics
By Christoph Schwaiger Published
-

Undetected brain infections may explain some SIDS cases
By Nicoletta Lanese Published
-

Seizures may be a cause of sudden unexplained child deaths
By Stephanie Pappas Published
-

Some people whose brains flatline but survive can recall lucid 'experiences of death'
By Rachel Nuwer Published
-
Diabetes
-
-

Slaying 'zombie cells' in blood vessels could be key to treating diabetes, early study finds
By Elise Ceyral Published
2 Comments -

What is type 5 diabetes? Newly recognized form of the disease gets name
By Clarissa Brincat Published
2 Comments -

Diabetic man produces his own insulin after gene-edited cell transplant
By Lydia Smith Published
22 Comments -

We may finally understand how metformin lowers blood sugar, animal study finds
By Kamal Nahas Published
10 Comments -

In a 1st, scientists reversed type 1 diabetes by reprogramming a person's own fat cells
By Tia Ghose Published
-

Beware smartwatches that claim to monitor blood sugar without skin prick, FDA says
By Nicoletta Lanese Published
-

Sugar-loving fruit bats' genes could point to new diabetes treatments, scientists say
By Wei Gordon Published
-
referenceType 3 diabetes: Symptoms, causes and treatments
By Lou Mudge Last updated
-
referenceWhich vegetables are good for diabetics?
By Lou Mudge Last updated
-
Exercise
-
-
DealsOur expert's favorite running shoes have just hit their lowest-ever price in January
By Anna Gora Published
-
Buying guidesWhat to buy to start a fitness journey (and save some money in the process)
By Anna Gora Published
-
Buying GuideBest yoga mats 2026: The best designs for hot yoga, travel and general home use
By Sam Hopes Last updated
-
Buying GuideBest Garmin watches 2026: From fitness bands to adventure smartwatches
By Andrew Williams Last updated
-
Buying GuideBest budget fitness trackers 2026: Cheap but mighty
By Maddy Biddulph Last updated
-
BUYING GUIDEBest shoes for Peloton and indoor cycling 2026: Up your game with the best cycling footwear
By Sam Hopes Last updated
-
Buying GuideBest workout equipment for home gyms 2026: Exercise in the comfort of your home
By Sam Hopes Last updated
-
Buying GuideBest walking treadmills 2026: An easy way to hit your step goal
By Sam Hopes Last updated
-
BUYING GUIDEBest budget exercise bikes 2026: Sturdy, affordable and fun to use
By Maddy Biddulph Last updated
-
Fertility, Pregnancy & Birth
-
-

'Unprecedented': Woman delivers full-term abdominal pregnancy while also having 22-pound cyst removed
By Nicoletta Lanese Published
-

Could aging eggs be 'rejuvenated'? New tool may help pave the way to fertility-extending treatments
By Nicoletta Lanese Published
-

Study links GLP-1 use to some pregnancy risks — but the research has key caveats
By Nicoletta Lanese Published
-

New blood test can predict risk of postpartum depression with more than 80% accuracy
By Michele Cohen Marill Published
-

Don't use cannabis during pregnancy or breastfeeding, leading OBGYN group says
By Elise Ceyral Published
-

Scientists created human egg cells from skin cells — then used them to make embryos
By Nicoletta Lanese Published
5 Comments -
OpinionDangers of falling birth rates in the US have been 'dramatically overstated,' experts say
By Leslie Root Published
7 Comments -

Even brief exposure to air pollution can push the placenta into an inflammatory state, lab study suggests
By Nicoletta Lanese Published
-

Acne drug Accutane may restore sperm production in infertile men, early study hints
By Clarissa Brincat Published
-
Food & Diet
-
-

Is there such a thing as 'too much' protein?
By Christoph Schwaiger Published
-

New US food pyramid recommends very high protein diet, beef tallow as healthy fat option, and full-fat dairy
By Nicoletta Lanese Published
25 Comments -

An otherwise 'fit' man had a stroke after drinking 8 'high-potency' energy drinks a day
By Nicoletta Lanese Published
5 Comments -

A woman's homemade juice led to life-threatening 'toxic squash syndrome'
By Nicoletta Lanese Published
4 Comments -

A toxicologist explains when you can safely cut the moldy part off food, and when it's best to toss it
By Brad Reisfeld Published
-

FDA recalls more bagged, frozen shrimp over possible radioactive cesium contamination
By Nicoletta Lanese Last updated
3 Comments -

Man sought diet advice from ChatGPT and ended up with dangerous 'bromism' syndrome
By Nicoletta Lanese Published
8 Comments -

No-sugar sweetener erythritol may pose risk to cells in the brain
By Isha Ishtiaq Published
6 Comments -

People on Ozempic start disliking meat and fried foods. We're starting to learn why.
By Lori Youmshajekian Published
-
Genetics
-
-

These genes were thought to lead to blindness 100% of the time. They don't.
By Stephanie Pappas Published
-

DNA from ancient viral infections helps embryos develop, mouse study reveals
By Clarissa Brincat Published
-

Leonardo da Vinci's DNA may be embedded in his art — and scientists think they've managed to extract some
By Sascha Pare Published
2 Comments -

'More Neanderthal than human': How DNA from our long-lost ancestors affects our health today
By Emily Cooke Published
10 Comments -

5 genetic 'signatures' underpin a range of psychiatric conditions
By Clarissa Brincat Published
9 Comments -

Woman had her twin brother's XY chromosomes — but only in her blood
By Mindy Weisberger Published
3 Comments -

James Watson, controversial co-discoverer of DNA's structure, dies at 97
By Andor J. Kiss Published
-

Gene on the X chromosome may help explain high multiple sclerosis rates in women
By Zunnash Khan Published
-

Unique gene variants in the Turkana people of Kenya may help them survive harsh desert heat
By Larissa G. Capella Published
-
Heart & Circulation
-
-

This 'marker' may be more predictive than cholesterol for heart disease
By Mary J. Scourboutakos Published
-

Scientists are developing a 'self-driving' device that helps patients recover from heart attacks
By Nicoletta Lanese Published
-

Heart attacks are less harmful at night. And that might be key to treating them.
By Zunnash Khan Published
-

Heart quiz: What do you know about the body's hardest-working muscle?
By Marilyn Perkins Published
-

Gum disease treatment slows the thickening of arteries, clinical trial shows
By Sophie Berdugo Published
3 Comments -

The human heart: Facts about the body's hardest-working muscle
By Mindy Weisberger Last updated
-

A rare genetic disease stained a woman's heart black
By Nicoletta Lanese Published
-

How do fitness trackers measure your heart rate?
By Anna Gora Published
-

'Breakthrough' stem-cell patches stabilized woman's heart as she awaited transplant
By Jess Thomson Published
-
Immune System
-
-

An experimental mRNA treatment counters immune cell aging in mice
By Nicoletta Lanese Published
-

Insomnia and anxiety come with a weaker immune system — a new study starts to unravel why
By Kamal Nahas Published
-

Mitochondria aren't only the 'powerhouses of cells' — they also battle germs
By Andrew Monteith Published
-

Twin study reveals signs of MS that might be detectable before symptoms
By Michael Schubert Published
-

Scientist who discovered body's 'fire alarm' against invading bacteria wins $250,000 Lasker prize
By Nicoletta Lanese Published
-

Why are some people's mosquito bites itchier than others'? New study hints at answer
By Michael Schubert Published
-

Scientists breed most human-like mice yet
By Emily Cooke Published
-

Master regulator of inflammation found — and it's in the brain stem
By Emily Cooke Published
-

Women have 4 times men's rate of autoimmune disease. The X chromosome may be to blame.
By Emily Cooke Published
-
Medicine & Drugs
-
-

Metal compounds identified as potential new antibiotics, thanks to robots doing 'click chemistry'
By Victoria Atkinson Published
-

US government overhauls the childhood vaccine schedule in unprecedented move
By Nicoletta Lanese Published
-

New drug could prevent diabetes complications not fixed with blood sugar control, study hints
By Nicoletta Lanese Published
8 Comments -

New antivenom works against 17 dangerous African snake species, study suggests
By Sayan Tribedi Published
-

Newfound antibiotic shows '100 times' more potency against drug-resistant bacteria than its predecessor
By Victoria Atkinson Published
-

One molecule could usher revolutionary medicines for cancer, diabetes and genetic disease — but the US is turning its back on it
By Nicoletta Lanese Published
6 Comments -
Interview'This is a completely different level of anti-vaccine engagement than we've ever seen before,' says epidemiologist Dr. Seth Berkley
By Nicoletta Lanese Published
-
BookFuture pandemics are a 'certainty' — and we must be better prepared to distribute vaccines equitably
By Dr. Seth Berkley Published
-

Chemo hurts both cancerous and healthy cells. But scientists think nanoparticles could help fix that.
By Tom Anchordoquy Published
-
Mind
-
-

A man's sudden seizures were set off by sudoku
By Sophie Berdugo Published
-

'Mitochondrial transfer' into nerves could relieve chronic pain, early study hints
By Nicoletta Lanese Published
2 Comments -

AI is getting better and better at generating faces — but you can train to spot the fakes
By Sophie Berdugo Published
5 Comments -

Neuroscience word search — Find all the parts of the brain
By Nicoletta Lanese Published
-

Tiny implant 'speaks' to the brain with LED light
By Payal Dhar Published
2 Comments -

Brain scans reveal 'dial' that helps keep us from getting lost
By RJ Mackenzie Published
-
Book'Intelligence comes at a price, and for many species, the benefits just aren't worth it': A neuroscientist's take on how human intellect evolved
By Nikolay Kukushkin Published
36 Comments -

Do your dreams change as you age?
By Abby Wilson Published
4 Comments -
InterviewThe evolution of life on Earth 'almost predictably' led to human intelligence, neuroscientist says
By Nicoletta Lanese Published
6 Comments
-
More about Health
-
-

Why doesn't stomach acid burn through our stomachs?
By Victoria Atkinson Published
-

New US food pyramid recommends very high protein diet, beef tallow as healthy fat option, and full-fat dairy
By Nicoletta Lanese Published
25 Comments -

Leonardo da Vinci's DNA may be embedded in his art — and scientists think they've managed to extract some
By Sascha Pare Published
2 Comments
-
